Reef nutrition

SPS Pest ID

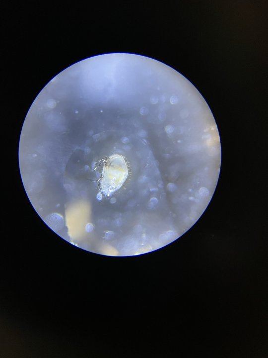
Ok I haven’t seen this one before. It’s got 8 legs, but doesn’t look acro spiders I’ve seen. Kind of has the round shell and short curved legs of a coral pest but the 8 legs is throwing me off. Anyone know?
My research only turned up mites as a possibility. They have been present in the system for 8 months as far as I know.

Their movement under the microscope is very offputting.
6878972D-E1E2-473F-BEF6-12ADF857A54A.png
 
Last edited:
Not sure from your pic if this one is the same as below bug?
View attachment 39431
They both resembled the below to me, but I have never been able to find any bugs climbing on acros while lights out. So I’ve been skeptical on committing to black bugs as the appropriate ID.. I have seen copepods climbing over coral skeleton, but not tissue.

Also I assume black bugs are more virulent. If it is a black bug then 99% of my acros seem to be doing fine and I know these critters would have been in the system for 7+ months at this point.

8E0BA17A-4BD9-4AED-9562-56DB58D55A52.png
 
My research only turned up mites as a possibility. They have been present in the system for 8 months as far as I know.

Their movement under the microscope is very offputting.
View attachment 39436
Thanks that’s interesting! I read “marine mites represent the oldest known extant animal lineage that secondarily invaded the sea, with the marine turtles being the second oldest such lineage.” I wonder if anyone else has come across them and if they noticed any effects on fish or corals. Doesn’t seem to be a lot of conclusive info on the web.
427F49D3-1664-41D8-8435-6F1AEC975209.jpeg
 
If you’ve exhausted all other avenues of possible issues: water params, parameter swings, pests, heavy metals (e.g., rusting magnets), or fish/invertebrates picking at them. You may want to consider bacterial or fungal infection. What sucks is, if it is this, there are not great methods to detecting it and for sure no established way to treat it. If it is bacterial and you find no pests, what your pics kind of look like is white plague or white band disease. There have been non-peer reviewed studies that report that ampicillin worked on it. So if the problem continues and you’re up for experimentation.

https://biophysics.sbg.ac.at/aqaba/disease2.htm
https://biophysics.sbg.ac.at/aqaba/disease3.htm

Aquabiomics does tests for some coral pathogens:

Vibrio shiloi
Vibrio coralliilyticus
Vibrio harveyi
Aurantimonas coralicida
Vibrio rotiferianus
Vibrio alginolyticus
Vibrio proteolyticus
Vibrio charcharvina
Serratia marcescens
Aquarickettsia rohweri
Arcobacter sp. type 1103
 
If you’ve exhausted all other avenues of possible issues: water params, parameter swings, pests, heavy metals (e.g., rusting magnets), or fish/invertebrates picking at them. You may want to consider bacterial or fungal infection. What sucks is, if it is this, there are not great methods to detecting it and for sure no established way to treat it. If it is bacterial and you find no pests, what your pics kind of look like is white plague or white band disease. There have been non-peer reviewed studies that report that ampicillin worked on it. So if the problem continues and you’re up for experimentation.

https://biophysics.sbg.ac.at/aqaba/disease2.htm
https://biophysics.sbg.ac.at/aqaba/disease3.htm

Aquabiomics does tests for some coral pathogens:

Vibrio shiloi
Vibrio coralliilyticus
Vibrio harveyi
Aurantimonas coralicida
Vibrio rotiferianus
Vibrio alginolyticus
Vibrio proteolyticus
Vibrio charcharvina
Serratia marcescens
Aquarickettsia rohweri
Arcobacter sp. type 1103
About 4 months ago I dosed the frag tank with cipro, because I suspected a bacterial pathogen. At .125mg/l, which aquabiomics has shown to assist with brown jelly disease (i don’t have any euphyllia, just started there since it was a baseline).

I saw no change to the system and I dosed it 3 times over 6 days. It’s likely cipro, while strong, was not at the concentration needed to prevent white band disease.

I don’t suggest anyone dose their tanks with antibiotics, but I felt comfortable I had done the appropriate research and understood the risks.

Either way, this time around I don’t know that there is any action needed. The frags that have had trouble thriving were all new additions to the system (except 1 tort) and it could be related to shipping stress.

The only pest that I have been able to positively ID is red planaria flatworms which I am taking care of slowly over weeks with flatworm exit in the Frag tank.

I am hesitant to dose interceptor and disrupt micro fauna without a positive ID on black or red bugs. Specially when they are considered a virulent bug that should have caused more die off than what I am seeing. Maybe I’m wrong about that and they just stunt growth.

I have not located AEFW or any other pest and 99% of my sps are looking very well.

This might just be bad luck, the only variable that sticks out to me as unusual is the exceedingly long time frame the necrosis happens over.

TLDR; I am hesitant to tinker to save just a couple frags at the risk of everything else that looks good.

@Srt4eric would you agree the sticks in the Frag tank have decent polyp extension and good color?
 
Last edited:
About 4 months ago I dosed the frag tank with cipro, because I suspected a bacterial pathogen. At .125mg/l, which aquabiomics has shown to assist with brown jelly disease (i don’t have any euphyllia, just started there since it was a baseline).

I saw no change to the system and I dosed it 3 times over 6 days. It’s likely cipro, while strong, was not at the concentration needed to prevent white band disease.

I don’t suggest anyone dose their tanks with antibiotics, but I felt comfortable I had done the appropriate research and understood the risks.

Either way, this time around I don’t know that there is any action needed. The frags that have had trouble thriving were all new additions to the system (except 1 tort) and it could be related to shipping stress.

The only pest that I have been able to positively ID is red planaria flatworms which I am taking care of slowly over weeks with flatworm exit in the Frag tank.

I am hesitant to dose interceptor and disrupt micro fauna without a positive ID on black or red bugs. Specially when they are considered a virulent bug that should have caused more die off than what I am seeing. Maybe I’m wrong about that and they just stunt growth.

I have not located AEFW or any other pest and 99% of my sps are looking very well.

This might just be bad luck, the only variable that sticks out to me as unusual is the exceedingly long time frame the necrosis happens over.

TLDR; I am hesitant to tinker to save just a couple frags at the risk of everything else that looks good.

@Srt4eric would you agree the sticks in the Frag tank have decent polyp extension and good color?
Bugs can take many months or apparently even years @H2OPlayar before they start noticeably affecting or killing corals, depending on how many bug-predators you have in the tank and maybe other factors I don’t understand. I wonder if other factors, like temp and iodine levels, can affect how fast they molt/grow (I’ve learned that iodine can affect crab and shrimps ability to molt).
 
Bugs can take many months or apparently even years @H2OPlayar before they start noticeably affecting or killing corals, depending on how many bug-predators you have in the tank and maybe other factors I don’t understand. I wonder if other factors, like temp and iodine levels, can affect how fast they molt/grow (I’ve learned that iodine can affect crab and shrimps ability to molt).
Agreed with you, the only thing holding me back from acting at this stage is there isn’t a positive ID of a threat yet.

The frag tank has roughly 50 sps pieces that are actively growing, show great color, and range in size from small golf balls to large soft balls. About 15-20% of those being tenuis species.


BA089865-1DAB-4C33-9B00-4E208762041D.jpeg

5A754A2D-1747-41DE-B22D-D162F1BF16BF.jpeg



Something interesting worth touching on is regarding the tort I mentioned. I have owned that coral for about 2 years. It grew to about the size of my fist and about 9 months ago it started a perpetual cycle of dying and regrowing. Take a look at some of the dying sections though. They have 3 clear distinctions. White Skelton, followed by a brown “epidermal layer” which appears in person as part of the coral tissue, followed by healthy tissue. Never seen anything like it. This photo is about 6 months old. I still have the coral and it continues this cycle in a stalemate.

24164FEE-95A6-47ED-B495-F377AF8A42B8.jpeg


Some things I thought were interesting:

1. The line between “healthly tissue” and what appears to be a lower tissue layer is a clean cut for the most part. ST/RT Necrosis has always come across looking more jagged/ripped from the skeleton.

2. The discoloration from the lower tissue layer to the white section appears Similiar to what you would see with bleaching coral tissue, meaning it has a more faded appearance.

Not sure what to make of it, but figured it might be fun to add to the discussion, specially since it is still alive and an outlier.
 
Bugs can take many months or apparently even years @H2OPlayar before they start noticeably affecting or killing corals, depending on how many bug-predators you have in the tank and maybe other factors I don’t understand. I wonder if other factors, like temp and iodine levels, can affect how fast they molt/grow (I’ve learned that iodine can affect crab and shrimps ability to molt).

Aefw is another that can creep up. They seemingly can go from nothing to infestation levels rather quickly randomly, but they were probably laying dormant or slow growing for a while. And it seems they have a certain affinity towards specific species of acros. Temperature definitely affects lifecycle of aefw and the time for eggs to hatch.

9C0CC2EF-48A8-43EF-BBFA-98DE83FB9F91.jpeg


From https://www.frontiersin.org/articles/10.3389/fmars.2019.00524/full#h1
 
Aefw is another that can creep up. They seemingly can go from nothing to infestation levels rather quickly randomly, but they were probably laying dormant or slow growing for a while. And it seems they have a certain affinity towards specific species of acros. Temperature definitely affects lifecycle of aefw and the time for eggs to hatch.

View attachment 39451

From https://www.frontiersin.org/articles/10.3389/fmars.2019.00524/full#h1
Wow so for example, at 75.2F/24C a lifecycle is, say, 15+56 = 71 days, vs at 82.4F/28C it’s 11+31=42 days.

Add this to the list of factors that cause the annual rash of spring reef issues as our tanks heat up again - suddenly your bugs are multiplying faster than they can be eaten?
 
Wow so for example, at 75.2F/24C a lifecycle is, say, 15+56 = 71 days, vs at 82.4F/28C it’s 11+31=42 days.

Add this to the list of factors that cause the annual rash of spring reef issues as our tanks heat up again - suddenly your bugs are multiplying faster than they can be eaten?
Kind of -- for AEFW, the trick would be to dip between 15 - 56 days. knock off aefw before they can lay a new round, with assumption that everything hatches prior to.

I use the same guidelines from the AEFW study... but made the mistake of only dipping once inside that window. In hindsight, I would dip at lest 2 , if not 3 times to catch any staggered hatching.
 
Something interesting worth touching on is regarding the tort I mentioned. I have owned that coral for about 2 years. It grew to about the size of my fist and about 9 months ago it started a perpetual cycle of dying and regrowing. Take a look at some of the dying sections though. They have 3 clear distinctions. White Skelton, followed by a brown “epidermal layer” which appears in person as part of the coral tissue, followed by healthy tissue. Never seen anything like it. This photo is about 6 months old. I still have the coral and it continues this cycle in a stalemate.

View attachment 39450

Some things I thought were interesting:

1. The line between “healthly tissue” and what appears to be a lower tissue layer is a clean cut for the most part. ST/RT Necrosis has always come across looking more jagged/ripped from the skeleton.

2. The discoloration from the lower tissue layer to the white section appears Similiar to what you would see with bleaching coral tissue, meaning it has a more faded appearance.

Not sure what to make of it, but figured it might be fun to add to the discussion, specially since it is still alive and an outlier.
Here’s a similar photo from my QT files - a similar type of acro with a thin white line but none of the dead flesh or jelly or whatever that is beneath it - but see the teeny-tiny bites?
76EAA302-18F1-41B1-B3BB-1D273D3B7A25.jpeg
 
Back
Top